医療機器の共同利用とは、当院で検査のみを行い、会計やレセプト請求は先生方にして頂くシステムです。(当院の医師の診察はありません。)
※診察券はお持ちの方のみです健康保険証はお名前、生年月日等の本人確認の為、お持ち頂きます。
診療報酬点数に基づき、撮影料を実費(非課税)にてご請求させて頂きます。
造影剤使用撮影をご希望される場合は、通常の紹介患者様として撮影の予約をお取りしますのでご連絡の際にその旨をお申し付け頂くようお願い致します。
お問い合わせ・ご予約
TEL029-867-1211 FAX029-867-1213


ガントリー内でアナログ信号をデジタル信号に変換し、光ファイバーケーブルで受信した信号を伝送するデジタル制御技術。 従来型のMRIで採用していたアナログ信号伝送方式と比較して、伝送時に外部ノイズの影響を受けなくなるため、 MR信号の劣化を解消し、より高分解能かつ短時間の撮像が可能となります。
システムを制御するシステムキャビネットには、強力な水冷システム GSC2を搭載し、省電力でありながら高速撮像を可能にしています。 また、これらのシステム主要部品は一つのキャビネットに収納されており、低電源容量と省スペース化をも実現しています。
日々のルーチンスキャンをより充実させる、アドバンスドアプリケーションを搭載。
画質向上のみならず、患者さんへも配慮したアドバンスドアプリケーションを多数搭載。
検査において患者さんへ“やさしさ”を提供するというコンセプトの非侵襲アプリケーション
様々な患者さんや検査に対応できる高度な体動補正技術を多数搭載。
精密検査を可能とするアプリケーション
頭部の撮像断面を自動的に位置決めする機能を搭載。
操作の簡便性と検査の再現性を両立させます。
スライドバーで直感的に撮像条件を変更できる機能を搭載。
ご施設における最適な撮像条件を5段階で設定することができます。
椎体Sagittal画像に半自動的に椎体番号をアノテーションする機能により、アノテーション作業の効率化を図ります。
MRIはMagnetic Resonance Imaging(磁気共鳴画像)の名の通り、人体に磁気を当て画像を撮影する装置です。
体内にある水素原子核が磁気に共鳴して微弱な電波を発生します。 MRIはその電波を受信して画像を作成します。
MRI検査が必要になった場合は患者さんにその旨伝えられます。その際に簡単な注意事項と検査を行う日を指定されます。
※検査には特に準備は必要ありません。ただし、検査内容によっては前日より食事制限がある場合があります。
※ペースメーカー、体内金属保持者(脳動脈クリップなど)、また、妊娠中(可能性のある)の方は念のためお医者さんに申し出るようにしてください。
MRI検査は次のような病気で行われます
脳梗塞、脳腫瘍、脳動脈瘤など、肝臓がん、膵臓(すいぞう)がんなど、卵巣がん、子宮筋腫、子宮内膜症など、前立腺がんなど、椎間板ヘルニア、靭帯断裂など、 MRIはMagnetic Resonance Imaging(磁気共鳴画像)の名の通り、人体に磁気を当て画像を撮影する装置です。
検査前の注意事項
MRIは強い磁場(磁気)を使用するので、金属製品類を持ち込めません。(カギ、時計、万年筆、ピアスなど)
検査手順
診察室にて撮影された画像を元にお医者さんからの説明があります。

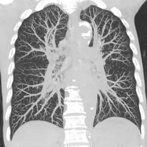
検査は、ベッドに寝ているだけで終了します。また、当院検査は、一回の撮影で同時に複数の輪切り像が得られる最新型ボリュームCTスキャナです。 得られた輪切り画像から下のような精密な立体像を作ることも可能です。

脳血管3次元画像

体幹部3次元画像

心臓3次元画像

胸部CT撮影が2秒以内で可能

胸部3次元画像

脳血管3次元画像

体幹部3次元画像

心臓3次元画像
